City Smiles Dental Care offers gentle, modern and affordable dental treatments in South Kolkata, ensuring healthy smiles with expert care and advanced technology.

Complete Dental Services in South Kolkata for Children, Adults and Seniors

City Smiles Dental Care offers a complete range of dental services in South Kolkata for children, adults and seniors. Whether you are dealing with sudden tooth pain, planning orthodontic treatment, looking for long-term smile enhancement or simply need routine dental care, our team ensures a personalised approach for every patient. From advanced root canal treatment and dental implants to braces, clear aligners, pediatric dentistry, cosmetic smile makeovers, gum treatment, full-mouth rehabilitation and comfortable wisdom tooth extraction, every service is delivered with attention to detail and modern clinical precision. We follow thorough diagnostic protocols, use digital X-rays and maintain strict sterilization standards to give you a safe and predictable treatment experience.

We also understand that dental visits often bring anxiety for many people, which is why we focus equally on comfort, communication and care. Our atmosphere is warm and reassuring, our team is patient and friendly, and all procedures are explained clearly before beginning. Residents of Baghajatin, Santoshpur, Jadavpur and nearby areas trust us because we combine experience with empathy, technology with transparency and expertise with gentle handling. Whether you are visiting us for the first time or returning for follow-up care, our goal is to ensure you feel heard, supported and confident about your oral health. At City Smiles Dental Care, your comfort and long-term dental wellness come before everything else.

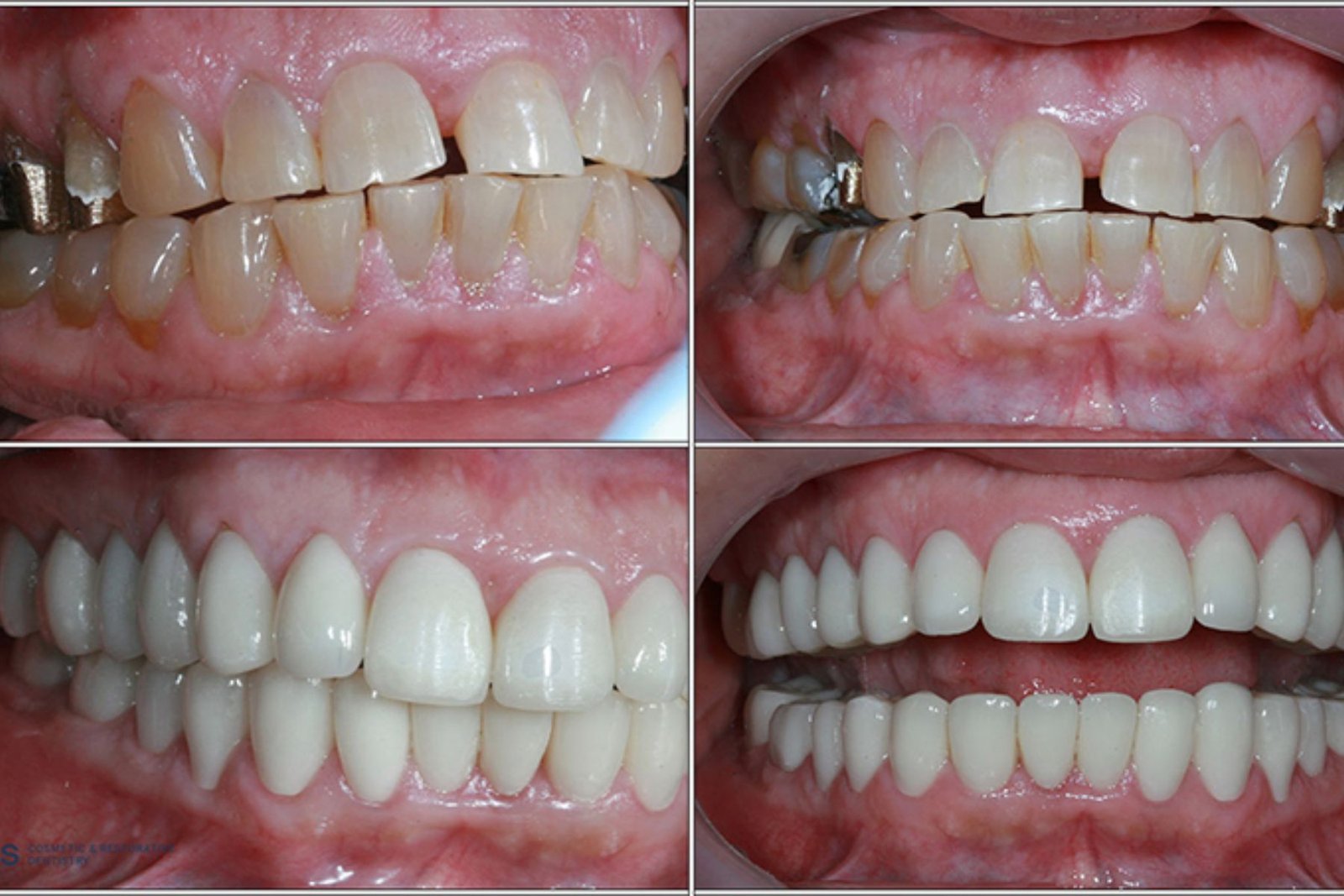
Comprehensive dental services in South Kolkata at City Smiles Dental Care

Led by qualified dentists and equipped with digital technology, we deliver reliable and evidence-based dental care for patients from Baghajatin, Santoshpur, Jadavpur and nearby areas.

Root Canal Treatment in South Kolkata

Root Canal Treatment

Advanced, pain-free root canal treatment using modern techniques to save infected teeth and relieve pain permanently.

Pediatric Dentistry in South Kolkata

Pediatric Dentistry

Gentle, child-friendly dental care for kids, including fillings, preventive treatments, habit correction, and cavity care.

Dental Implants in South Kolkata

Dental Implants

Long-lasting dental implants to replace missing teeth, restoring natural function, aesthetics, and confident smiles.

Orthodontic Treatment in South Kolkata

Orthodontic Treatment

Correct misaligned teeth using metal, ceramic, and self-ligating braces for healthy bites and confident smiles.

Invisible Braces in South Kolkata

Invisible Braces

Virtually invisible clear aligners to straighten teeth comfortably, removable, discreet orthodontic treatment.

Cosmetic Dentistry in South Kolkata

Cosmetic Dentistry

Enhance your smile with whitening, veneers, and bonding to fix gaps, stains, and uneven teeth naturally.

Gum Treatment in South Kolkata

Gum Treatment

Advanced gum care including scaling, deep cleaning, and laser therapy to treat gum disease and improve gum health.

Dentures & Full-Mouth Rehabilitation in South Kolkata

Dentures & Full-Mouth Rehabilitation

Restore missing teeth with removable, fixed, and implant-supported dentures for better comfort and function.

Wisdom Tooth Extraction in South Kolkata

Wisdom Tooth Extraction

Safe surgical and non-surgical wisdom tooth removal with minimal pain, faster healing, and stress-free recovery.

Why Choose us

Trusted by Families Across South Kolkata

Choosing the right dental clinic is important for your comfort, safety and long-term oral health. At City Smiles Dental Care, we combine modern technology, expert guidance and a patient-friendly environment to deliver reliable and gentle dental services in South Kolkata. Our approach focuses on clarity, compassion and clinical excellence, ensuring that every patient receives personalised care they can truly trust.

Faq’s

Answers to the Questions Our Patients Ask Most

Q1. What dental services do you provide at City Smiles Dental Care?

We offer a complete range of dental services in South Kolkata including root canal treatment, pediatric dentistry, dental implants, orthodontics, clear aligners, cosmetic dentistry, gum treatment, dentures, full-mouth rehabilitation and painless wisdom tooth extraction. All treatments are performed by experienced dentists using modern equipment.

No. Most treatments today are designed to be painless or minimally uncomfortable. We use gentle anesthesia techniques, advanced tools and patient-friendly procedures to ensure comfort. Even treatments like root canals and extractions are now smooth and stress-free.

Yes. We provide specialised care for children, adults and seniors. Our pediatric setup is child-friendly, while senior patients receive extra support for gum issues, dentures, tooth replacements and full-mouth rehabilitation.

You can book an appointment in two easy ways:

  1. Fill out the appointment form on our website

  2. Call or WhatsApp us directly at +91 6289 004 840
    We will confirm the time and share visit instructions.

Yes, walk-ins are welcome. However, we recommend booking an appointment in advance to avoid waiting, especially for long procedures such as RCT, aligners or dental implants.
Follow this Google Map link to navigate our clinic – https://share.google/e2J8VhszBQg6dCN6j

Most appointments take between 20 and 45 minutes, depending on the treatment. Procedures like root canal therapy, dental implants or smile makeovers may require longer sessions or multiple visits.

Our clinic is conveniently located for patients from Baghajatin, Santoshpur, Jadavpur, Patuli, Garfa, Garia and nearby regions. Many patients visit us regularly from these areas for routine and advanced dental care.

Yes. We provide both traditional braces and modern clear aligners such as Invisalign and Illusion Aligners. After a 3D scan, we recommend the best option based on your alignment needs, lifestyle and budget.

Dental implants are one of the most reliable tooth-replacement options available. When done with proper planning and aftercare, they can last for many years. We use high-quality implant systems and digital planning to ensure accuracy and long-term success.

Yes, we help patients with emergency situations such as severe tooth pain, broken teeth, swelling, bleeding gums or dental injuries. You can contact us immediately on +91 6289 004 840 for urgent assistance.

Call Us
WhatsApp
Appointment