City Smiles Dental Care offers gentle, modern and affordable dental treatments in South Kolkata, ensuring healthy smiles with expert care and advanced technology.
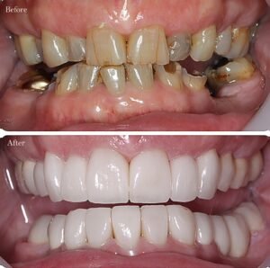
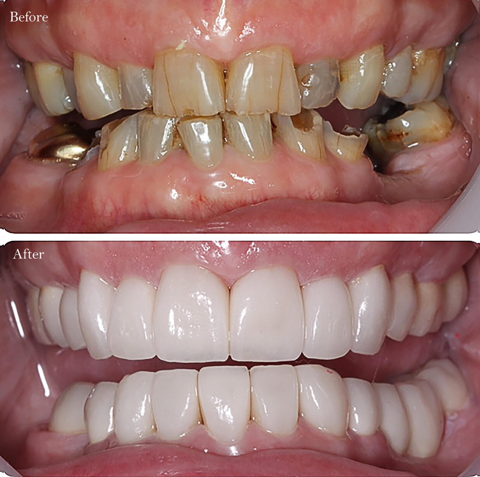
If you have a missing, damaged or failing tooth, dental implants offer the most natural-looking, long-lasting and comfortable solution. At City Smiles Dental Care, our advanced implant technology ensures a safe, painless and precise treatment experience tailored to your smile. Our goal is to restore not just your teeth, but your confidence as well.
With expert implant specialists, modern imaging systems and a gentle, patient-first approach, we make your treatment smooth from the very first consultation. Discover why patients across South Kolkata trust our dental implant clinic in South Kolkata for reliable and aesthetic tooth replacement.
Dental implants are the most advanced and reliable solution for replacing missing or damaged teeth. They are small, biocompatible titanium or zirconia posts placed into the jawbone to act as strong, artificial tooth roots. Once the implant fuses naturally with the bone, a custom-made crown is attached — giving you a tooth that looks, feels and functions just like a real one.

Unlike dentures or bridges, dental implants do not slip, loosen, or harm neighboring teeth. They restore chewing strength, support jawbone health and offer unmatched comfort and durability. Whether you have lost a single tooth or require full-mouth restoration, implants provide a long-term, natural-looking replacement that enhances both confidence and oral function.
Dental implants are an excellent solution for people who want a permanent, stable and natural-looking replacement for missing or damaged teeth. If you’re struggling with chewing, smiling confidently or maintaining denture stability, implants may be the ideal treatment for you. Understanding the signs early helps you decide whether visiting a dental implant clinic in South Kolkata is the right step.
Here are the most common situations where dental implants are recommended:
1. Missing One or More TeethIf you’ve lost a tooth due to decay, injury or gum disease, a dental implant provides a strong and long-lasting replacement. It restores appearance, function and prevents nearby teeth from shifting out of place.
2. Severely Damaged or Broken TeethA tooth that is cracked, fractured or beyond repair may require replacement. Dental implants offer a stable, natural-feeling option when saving the tooth isn’t possible.
3. Loose or Uncomfortable DenturesIf your dentures move, slip while talking or cause irritation, dental implants can anchor them securely. Implant-supported dentures feel far more stable and comfortable than traditional removable ones.
4. Difficulty Chewing or Biting FoodMissing teeth or weak dentures can make eating painful or difficult. Dental implants restore full chewing strength, allowing you to eat comfortably without restrictions.
5. Jawbone Loss or a Sunken Facial AppearanceWhen teeth are missing for a long time, the jawbone begins to shrink. Dental implants stimulate bone growth and help maintain your natural facial structure.
6. Looking for a Permanent Tooth ReplacementIf you want a lifelong solution instead of temporary fixes like bridges or dentures, implants offer unmatched durability and strength.
7. Healthy Gums and Adequate JawbonePatients with good gum health and sufficient bone density make ideal candidates. Even if bone loss has occurred, procedures like bone grafting can help you qualify.
At City Smiles Dental Care, we offer a comprehensive range of implant solutions tailored to individual needs — from replacing a single missing tooth to restoring a full arch. Our goal is to provide durable, aesthetic and comfortable results through advanced implant techniques at our dental implant clinic in South Kolkata.
Below are the implant options available:
Ideal for replacing a single missing or damaged tooth without affecting neighboring teeth.
A titanium implant is placed in the jawbone, and a custom-made crown is attached for a natural, seamless appearance.
Best For:
One missing tooth
Broken or non-restorable teeth
If you are missing several teeth, implants can be placed to support multiple crowns or a bridge. This provides better stability than traditional bridges and preserves the health of adjacent teeth.
Best For:
Multiple missing teeth in the same or different areas
Patients who want stronger alternatives to bridges
A life-changing solution for patients who have lost most or all of their teeth.
Strategically placed implants support a full arch of teeth, offering excellent stability, improved chewing, and natural aesthetics.
Best For:
Severe tooth loss
Loose or painful dentures
People wanting fixed, long-term replacement
These dentures snap securely onto implants, eliminating movement and discomfort. They provide far more stability than regular removable dentures and allow you to speak, smile and eat confidently.
Best For:
Patients with loose, unstable dentures
Those seeking a more budget-friendly fixed option
For eligible patients, implants can sometimes be placed immediately after tooth extraction. This shortens the treatment timeline and prevents bone loss.
Best For:
Healthy bone structure
Patients seeking faster results
At City Smiles Dental Care, we follow a precise, modern and painless process to ensure long-lasting implant success. Our advanced diagnostics and expert implant specialists help restore your smile with confidence and comfort. Here’s how treatment works at our dental implant clinic in South Kolkata:
1. Consultation & 3D ScanYour implant journey begins with a detailed examination and a digital 3D scan. This helps us assess your bone structure, identify the ideal implant position and create a personalized treatment plan tailored to your needs.
2. Implant PlacementOnce the plan is finalized, a biocompatible titanium implant post is gently placed into the jawbone. This acts as a strong artificial root and provides a stable foundation for your new tooth. The procedure is carried out under painless anesthesia for complete comfort.
3. Healing & OsseointegrationOver the next few months, the implant naturally fuses with your jawbone — a healing process called osseointegration. This ensures exceptional stability and long-term success, making implants a permanent solution for missing teeth.
4. Abutment PlacementAfter successful bone integration, a small connector called an abutment is attached to the implant. This component securely holds the final crown, bridge or denture in place.
5. Final RestorationYour custom-made crown or prosthetic tooth is fixed onto the abutment, completing your restoration. The final tooth is designed to match the color, shape and feel of your natural teeth, giving you a beautiful and fully functional smile.
Treatment DurationMost implant treatments take 3–6 months, depending on bone healing.
For eligible patients, immediate-loading implants may also be available.
Dental implants offer far more advantages than traditional bridges or dentures. They look natural, feel comfortable and function like real teeth — making them one of the best long-term solutions for missing teeth. At City Smiles Dental Care, we ensure every implant is placed with precision so you enjoy lasting comfort, stability and confidence.
Here are the key benefits of dental implants:
1. Natural Look and FeelDental implants are designed to match the color, shape and function of your natural teeth. They blend seamlessly with your smile, giving you a confident, beautiful appearance.
2. Long-Lasting & DurableWith proper care, implants can last a lifetime. Unlike bridges or dentures that may need frequent replacement, implants provide a strong and permanent solution.
3. Restores Chewing PowerYou can enjoy your favorite foods without discomfort or restrictions. Implants restore nearly 100% of normal chewing strength, helping you eat, speak and smile effortlessly.
4. Prevents Bone LossWhen a tooth is missing, the jawbone begins to shrink over time. Dental implants stimulate the bone like natural tooth roots, preventing bone loss and maintaining facial structure.
5. No Slipping or MovementUnlike dentures that may loosen or shift, implants stay firmly anchored. They provide stability and comfort during eating, speaking or laughing.
6. Protects Nearby TeethImplants do not rely on adjacent teeth for support. This keeps your surrounding teeth healthy and prevents unnecessary wear or filing.
7. Improves Facial AestheticsBy preserving bone volume and supporting facial muscles, implants prevent the sunken look that often occurs with missing teeth or long-term denture use.
At City Smiles Dental Care, we believe long-term success starts with world-class implant systems. That’s why our dental implant clinic in South Kolkata offers globally trusted implant brands known for durability, aesthetics and exceptional clinical success. Each implant system is selected based on your bone quality, treatment goals and budget — ensuring you receive the safest and most reliable result.
Implant Brands We OfferAffordable, reliable and ideal for cost-effective implant treatments without compromising quality.
A globally trusted Korean implant system known for high success rates and excellent long-term performance.
Premium Swiss-made implants offering superior precision, top-tier aesthetics and exceptional durability.
Advanced implant solutions with unmatched strength and lifelike appearance.
We use only clinically proven implant systems to ensure the highest standards of safety, aesthetics and longevity. Not sure which implant type is right for you? Our experts will explain the benefits of each and help you select the best option for your needs and budget.
Restore your smile with trusted implant systems and expert care. Book your consultation today!
The cost of dental implants depends on the implant brand, bone condition, number of implants required and the type of restoration (crown, bridge or denture). At City Smiles Dental Care, we maintain transparent pricing with no hidden charges, ensuring every patient receives high-quality implant treatment that fits their needs and budget.
As one of the trusted options for implants in the region, our dental implant clinic in South Kolkata offers affordable plans, world-class materials and expert implant placement by experienced dentists. Whether you need a single implant or a full-mouth restoration, we provide tailored treatment plans for long-lasting, natural results.
| Type of Implant / Treatment | Estimated Cost (INR) | Details |
|---|---|---|
| Single Tooth Implant | ₹18,000 – ₹45,000 | Includes implant post, abutment and crown. |
| Multiple Teeth Implants | ₹45,000 and up | For several missing teeth; supports crowns or bridges. |
| Full Mouth Implants (All-on-4 / All-on-6) | ₹1,20,000 and up (per arch) | Complete arch replacement with fixed hybrid prosthesis. |
| Implant-Supported Dentures | ₹60,000 and up | Removable dentures securely supported on implants. |
| Premium Implant Brands (Straumann / Nobel Biocare) | ₹45,000 – ₹75,000 (per implant) | High-end systems with superior strength & aesthetics. |
Dental implant costs vary depending on your case, but at City Smiles Dental Care, we ensure world-class treatment at fair and competitive pricing. We use only certified implant systems and advanced technology, ensuring your implant lasts for years with proper care.
To give you the best value, we also offer flexible options based on:
Implant brand preference
Bone condition
Type of restoration required
Single or multiple implants
Full mouth rehabilitations
Every treatment plan includes a complete breakdown of charges before starting.
Book a consultation today and get a personalized implant cost estimate based on your needs.
Dental implants offer far more advantages than traditional bridges or dentures. They look natural, feel comfortable and function like real teeth — making them one of the best long-term solutions for missing teeth. At City Smiles Dental Care, we ensure every implant is placed with precision so you enjoy lasting comfort, stability and confidence.
Here are the key benefits of dental implants:
1. Natural Look and FeelDental implants are designed to match the color, shape and function of your natural teeth. They blend seamlessly with your smile, giving you a confident, beautiful appearance.
2. Long-Lasting & DurableWith proper care, implants can last a lifetime. Unlike bridges or dentures that may need frequent replacement, implants provide a strong and permanent solution.
3. Restores Chewing PowerYou can enjoy your favorite foods without discomfort or restrictions. Implants restore nearly 100% of normal chewing strength, helping you eat, speak and smile effortlessly.
4. Prevents Bone LossWhen a tooth is missing, the jawbone begins to shrink over time. Dental implants stimulate the bone like natural tooth roots, preventing bone loss and maintaining facial structure.
5. No Slipping or MovementUnlike dentures that may loosen or shift, implants stay firmly anchored. They provide stability and comfort during eating, speaking or laughing.
6. Protects Nearby TeethImplants do not rely on adjacent teeth for support. This keeps your surrounding teeth healthy and prevents unnecessary wear or filing.
7. Improves Facial AestheticsBy preserving bone volume and supporting facial muscles, implants prevent the sunken look that often occurs with missing teeth or long-term denture use.
At City Smiles Dental Care, we proudly serve patients across South Kolkata, offering accessible and high-quality implant dentistry to nearby neighbourhoods. Whether you are from Baghajatin, Jadavpur, Garia or Santoshpur, our clinic is conveniently located and easy to reach for consultations, follow-ups and implant treatment visits.
Our goal is to make advanced, reliable dental care available to every patient searching for a trusted dental implant clinic in South Kolkata, ensuring comfort, transparency and expert guidance at every step.
If you're nearby and looking for dependable implant solutions, we’re just a short drive away—
👉 Book your visit through our Google Business Profile:
https://share.google.com/O2zpwt9X8bTR3Df2V
No. Dental implants are placed under local anesthesia, making the procedure almost painless. Most patients describe the experience as more comfortable than a tooth extraction. At City Smiles Dental Care, we use advanced techniques to ensure a smooth and stress-free procedure.
With proper care, dental implants can last a lifetime. The crown may need replacement after 10–15 years, but the implant itself is designed to remain strong and stable for decades.
Anyone with one or more missing teeth and healthy gums is an excellent candidate. Adequate jawbone density helps in secure implant placement. Even if you have bone loss, procedures like bone grafting can prepare the area for implants.
The complete process usually takes 3–6 months, depending on healing time and bone integration. Some patients may qualify for same-day or immediate-loading implants.
Yes. The crown placed over the implant is custom-made to match your natural tooth color, size and shape. No one will be able to tell the difference between the implant and your natural teeth.
Absolutely. Dental implants have one of the highest success rates in modern dentistry. At City Smiles Dental Care, we use globally trusted implant brands and strict sterilization standards to ensure complete safety.
Implant pricing varies depending on the brand, bone condition and type of restoration. Our clinic offers affordable options starting from budget-friendly implants to premium systems like Straumann and Nobel Biocare.
You can check our detailed cost breakdown above or book a consultation to get a personalized estimate.
Yes. Age is not a barrier. As long as you have good general health and adequate bone support, seniors can benefit greatly from dental implants.
Implants require the same care as natural teeth — brushing twice a day, flossing and regular checkups. With proper hygiene, your implants stay strong for many years.
Our dental implant clinic in South Kolkata is conveniently accessible for patients from Baghajatin, Jadavpur, Garia and Santoshpur, making it easy for nearby residents to receive quality implant care.
+91 6289 004 840
09:00am - 08:00pm